Invisalign Open Week 18th -25th April - Savings of £1,448 - Limited slots available Click to book
📞 01257 733 633 Book Online
Book Now

INVISALIGN OPEN WEEK

FREE Invisalign Consultation

18th – 25th April

Considering Invisalign but unsure where to start?

Join us at our Invisalign Open Week and book in for a FREE consultation where we provide a thorough examination and assess your suitability.

If you go ahead with treatment you will also enjoy:

• £1000 off treatment price
• FREE 3D scan to preview your smile
• FREE teeth whitening
• 20% off Composite Bonding

Dental Implants in Wigan

Book a Consultation
 CIRC DENTAL

Dental Implants common use cases

Tooth loss from decay, loss and extraction

Replacing failed dental work like cracked crowns and bridges

Unstable dentures

Missing adult teeth

Benefits of Dental Implant Treatment

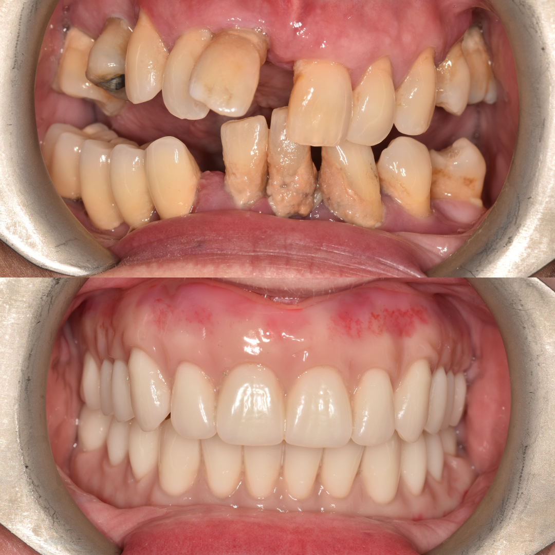
Implants Before and After

Steps for your Smile Transformation

1

Consultation

During your consultation, your dentist will examine your teeth and gums, as well as taking a CBCT scan. You will be asked about your medical history, current lifestyle, and what you would like to achieve with treatment.

2

Treatment Planning

If you are eligible for dental implants, your dentist will work with a treatment coordinator to plan each step in the procedure. The schedule has to stay flexible because the treatment stages depend on how long your body takes to recover.

3

Bone Grafting (If Necessary)

If you need a bone graft, this will be placed where the implants will be fitted. This could lengthen the treatment time by weeks or months, as the graft has to heal before the implants can be fitted.

4

Placement Surgery

During surgery, the dentist will insert a small titanium post into your jaw; during healing, this will fuse with the jawbone. Once the area has fully healed, your new tooth is placed.

Book a Consultation
Circ Dental Team Image
dentistry marble texture shape1

Meet your Implant dentist

Implant Dentist

GDC No. GDC No. 265375

BDS Hons (She eld), MSc (Dental Implantology)

Known for his thorough, detail-oriented approach, Thomas strives for gold-standard care in every treatment. He’s passionate about dental implantology, finding it both technically rewarding and deeply fulfilling as it transforms patients’ smiles and confidence.

Thomas regularly mentors other dentists in implant treatments, has lectured on implant surgery, and published research in the British Dental Journal. He’s also a proud partner of a dental practice in Altrincham.

Meet the Team
Video thumbnail

Our Pricing

Implant options at Circ Dental

Single implant and crown

£2,750

All on 4 (Per arch)

From £14,000

Implant options

from £400
Book a Consultation

Frequently Asked Questions

Traditional X-rays show us height, but nothing about bone density or width. A CBCT (Cone Bean Computed Tomography) scan can show things not visible on standard X-rays, including blood clots and tiny bone fractures. CBCT scans also produce less radiation than traditional X-rays and can be used to focus on more specific areas in the mouth.

Our Reviews

Team
Team - Circ Dental
Dr Nick Jones

Principal Dentist & Owner

Team - Circ Dental
Dr Matt Jones

Principal Dentist & Owner

Team - Circ Dental
Dr Jade Athwal

Dentist

Team - Circ Dental
Dr Thomas Owen

Implant Dentist

Team - Circ Dental
Dr Kelly Smorthit

Specialist orthodontist

Team - Circ Dental
Dr Claire Andrews

Dentist

Team - Circ Dental
Louise

Treatment Coordinator

Team - Circ Dental
Carrie

Practice Manager

Team - Circ Dental
Megan

Dental Nurse

Team - Circ Dental
Bev

Dental Nurse

Team - Circ Dental
Rachel

Dental Nurse

Team - Circ Dental
Katie

Dental Nurse

Team - Circ Dental
Michelle

Lead Dental Receptionist

Team - Circ Dental
Jane

Receptionist

Dental Treatments

Circ Dental

Composite Fillings

At Circ Dental, we aim to do all our fillings in the highest-quality composite resin.

Learn More
Circ Dental

Teeth Whitening

The pride and confidence accompanying a white, healthy-looking smile is invaluable.

Learn More
Circ Dental

Dental Implants

Subtle treatments to enhance your appearance.

Learn More
Circ Dental

Facial Aesthetics

Your future smile begins with dental implants.

Learn More
Circ Dental

Composite Bonding

Restore the beauty of your smile in just a single appointment with composite bonding.

Learn More
treatments logo brown plain shape

Circ Dental, The Standish Centre, Cross Street, Standish, WN6 0HQ

Opening Hours:

Mon – Friday 9am – 1pm / 2pm – 5.30pm